The Dental Gallery
follow us on instagram.

Before: Patient presented with a fractured tooth

We'll use a same day filling that is more conservative and less expensive than a porcelain veneer.

We use rubber dams to isolate the operative site from the rest of the mouth.

After: Tooth with a direct composite.

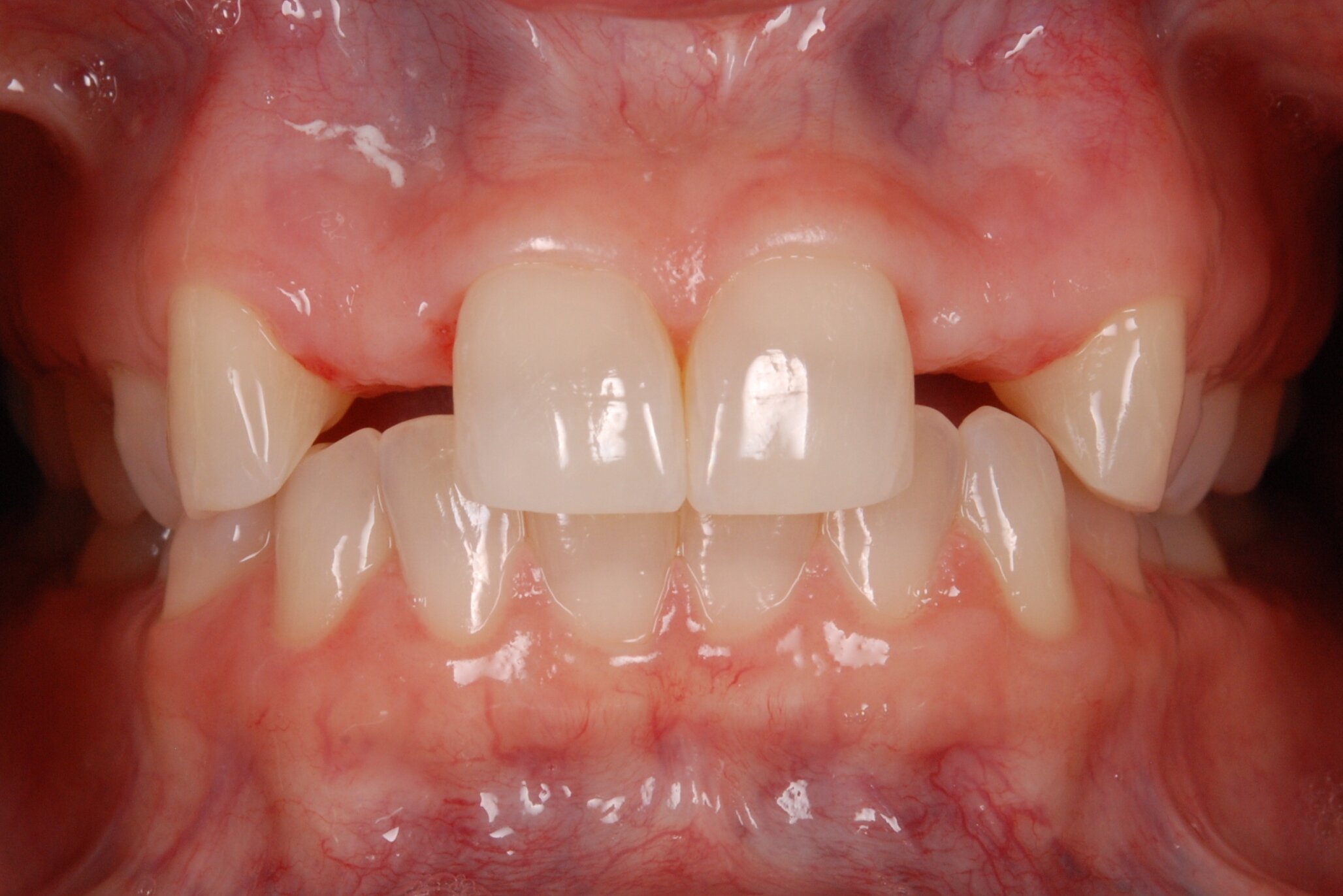
Before: Patient presented with decay on front tooth.

Placing a rubber dam and removing decay.

After: Tooth has been restored with a direct composite filling.

Building up the direct composite layer by layer.

almost finished

Before: Patient presented with a broken tooth and decay.

After: Final result of direct composite filling

Before: Patient presented with decay between teeth

Repair using a matrix which helps recreate the natural tooth shape.

After: Final result after removing the rubber dam.

Before: Chipped front teeth and worn and discolored composite fillings

After: Final result after placing front composite fillings
Before: Patient prior to being restored with bilateral cantilever bridges

Porcelain cantilever bridges on model

Porcelain cantilever bridge left side

After: Final result after replacing missing teeth with cantilever bridges